
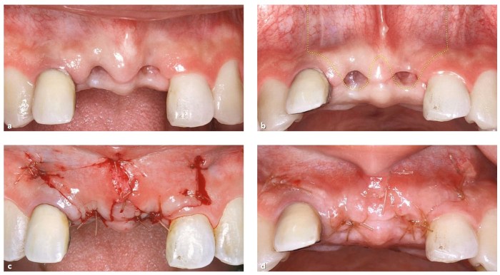
這篇文章提出Dr. Froum以及NYU的團隊對於上顎前牙如何保留interproximal papilla。我簡單歸納幾個重點:1. 鄰牙必須是健康的(no bleeding on probing with <5mm attachment loss)2. 拔牙後4-6週做early placement。3. 用U型切線,在buccal side翻flap。4. 二階的時候,要翻palatal side U shape flap。
我覺得這樣的說法很有意思,可惜我很少做手術,沒有這方面相關的經驗。我個人比較多做immediate implantation with loading。Early placement真的只做過一兩次。

























這篇文章包含了兩個implant failure case,原因是因為有殘留的牙根碎片剛好貼在植體表面,然後有結石和細菌,過一段時間後骨頭就吸收了。因為最近越來越多的socket shield technique in esthetic zone的文章發表,只是提醒這樣的做法並沒有長期的觀察,我相信乾淨的牙根是可以的,但是有感染過的牙根或是牙周病的牙根?只能說要慎選case了。

