
在網路上或是在聽演講的時候,我們可以看到很多大師去show出很多全口zirconia framework,這樣的做法真的可以撐得長久嗎?
內文很精彩,重點有兩點:1. 在觀察五年,92個arch中有2個framework fracture; 2. 雖然不太會全斷,但是chipping的量和機會很大,完全沒有事的機會只有一成左右。
所以要買repair kit?



在網路上或是在聽演講的時候,我們可以看到很多大師去show出很多全口zirconia framework,這樣的做法真的可以撐得長久嗎?
內文很精彩,重點有兩點:1. 在觀察五年,92個arch中有2個framework fracture; 2. 雖然不太會全斷,但是chipping的量和機會很大,完全沒有事的機會只有一成左右。
所以要買repair kit?


int-j-prosthodont-2016-vol-29-p-487-492

這個研究是在比較男女之間對於判斷顏色的能力,將受試者分成四個族群,分別是性別以及有無接受60分鐘判斷比色板的課程。結果有無接受判斷比色板的課程對於判斷顏色沒有太大影響,反而是女性先天判斷顏色的能力就比男性強。難怪會抱怨顏色不準的多半是女性患者啊。


每一年AARD都會招集在牙科各大領域的專家,回顧前一年的重要文獻,所以2016年就是回顧2015年的文章,長達78頁,過年無聊時候可以看一下。

Ultrathin occlusal veneer,通常是指約0.6mm的composite resin or glass ceramic。那這麼薄的貼片放在後牙區,需要注意什麼地方?受力的狀況到底如何?
這篇in vitro的研究去模擬使用500N的力量去做working, non-working, clenching 的時候,貼片所受到的力量都不一樣,在non-working的時候貼片會受到比working/clenching大約雙倍的力量,所以作者提到要建立canine guidance的咬合來保護這樣薄貼片的情形。


這篇研究很有臨床實戰的價值,但是需要更多的研究來確定,就是我們在做CAD/CAM的時候,因為一定要留cement space以及margin的gap來讓cement溢出,要怎麼留才好?這實驗分成三組,margin都是留25um,cement space分別留30,40,50um。結果留最多space的反而margin fit最好,也就是我們要做crown的時候,cement space要留夠,不要弄得太緊,反而讓裡面的cement出不來而墊高了。


植牙固定式假牙,若是壞掉了怎麼辦?當然是要重做。但是重做的時間以及回診的次數不少,當患者需要美觀時候該怎麼辦?這篇文章使用了一個很簡單的方式,就是將壞掉的部分用vacuum固定回去,變成一個臨時美觀用活動假牙,可以套在原本的假牙上,同時開始重做新的假牙。



如何將原本做all-on-4的患者之舊CD或是新的denture接上去?大致上有兩種做法,第一種就是這篇文章寫的,挖洞->印模->口外接。第二種的方式是挖洞->直接口內接。都有好有壞,口外接出來比較漂亮,但是只要轉印的時候不準一點點就很麻煩,口內接出來比較醜,但很精準。若是第一次做,我建議先照這篇文章做,但是只接一隻,其他三隻在口內pick up,會比較得到兩種方法之優點。






這篇文章是敘述他怎麼去補上顎前牙因為牙周病的問題,導致diastema,然後要補得好看的方式。我覺得台灣有很多醫師也可以做得到,只是沒有發表而已。在digital/wax up之後,判斷補起來是好看還是更醜,再來補。補的秘訣就是上好rubber dam之後,然後灌enamel shade flowable,再利用透明的band圍好,確定emergency profile是好的,接著light cure去除掉不要的,再繼續堆。我以前常犯的錯誤是先圍好band,再灌flowable,這樣比較會有氣泡,灌起來也不漂亮。




2017年新年快樂!不知不覺本網站進入了第三年,感謝各位牙科/非牙科的朋友的支持。
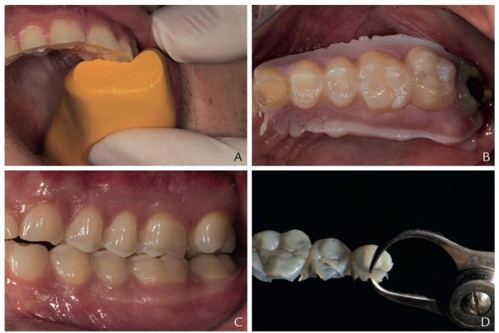
這篇文章是使用CAD/CAM輔助的全口貼片治療erosion,我是覺得即使沒有CAD/CAM,也是可以做,但是會讓患者多跑幾趟就是。他的圖很漂亮,治療的程序也是很正統,該堆蠟該做臨時補綴物都是很完整。










journal-of-prosthodontics-2016-vol-25-p-433-439

這篇是一個統計自己診所all-o-4 case的文章,他總共在兩年內做了191個arch all-on-4,植體的成功率是99.5%,平均interim fixed prosthesis使用了約200天,平均的prosthesis厚度為13mm,需要repair的機率為17.8%。
整體來說得到的資訊是,只要你的計劃好,目前nobel active implant的存活率很好,臨時假牙的存活率也很好,但是修補的機會大約要抓20%。
我一直覺得,要能夠做好all-on-4,其實沒有那麼的複雜,但是你如果要我解釋怎麼做,我也說不出個所以然,我不太適合當老師吧。