J of Prosthodontics 2015 Vol.24 P.499-505
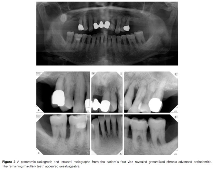
這個case report是一個49歲的女性患者, 因為全口牙周病以及後牙缺牙, 一開始看起來很糟糕的情況. 治療只拔除了左下7, 然後做了牙周的phase I and II的治療, 在上顎後牙各植了2顆ITI. 五年的追蹤下結果相當的理想. 我目前也有case是類似這樣的情形, 在後牙以植牙重建後牙咬合後, 前牙原本mobility III的牙齒竟然完全不搖了…但是我並沒有將剩下的牙齒splinting起來, 這我需要再評估看看. Splinting是雙面刃, 如果因為不好清潔而牙周更糟糕反而全盤皆輸.





