J Prosthodontics 2015 Vol.24 P.322-328
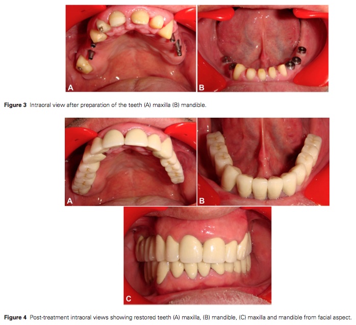
這是一篇case report, 也就是看圖說故事的時間又到了. 這個case做的很合乎邏輯性, 我近期有幾個全口重建的患者基本上也是以類似的程序來治療. 對於喪失OVD的患者來說, 一定要去回復他原本的OVD, 那可以用全口固定式臨時假牙或是臨時局部活動式假牙去找. 這位患者因為多處缺牙所以要重建, 以臨時活動假牙重建咬合三個月後確定其OVD, 然後配合上下顎的植牙以及新的固定式假牙予以重建.
J Prosthodontics 2015 Vol.24 P.322-328
這是一篇case report, 也就是看圖說故事的時間又到了. 這個case做的很合乎邏輯性, 我近期有幾個全口重建的患者基本上也是以類似的程序來治療. 對於喪失OVD的患者來說, 一定要去回復他原本的OVD, 那可以用全口固定式臨時假牙或是臨時局部活動式假牙去找. 這位患者因為多處缺牙所以要重建, 以臨時活動假牙重建咬合三個月後確定其OVD, 然後配合上下顎的植牙以及新的固定式假牙予以重建.