Journal of Prosthodontics 2015 Vol.24 P.243-249
因為我目前有遇到上顎單顆牙supraeruption的情況, 而下顎有implant. 所以我打算要做一個implant supported interim prosthesis去墊高做對側牙intrusion. 這篇文章就是在描述類似的做法.
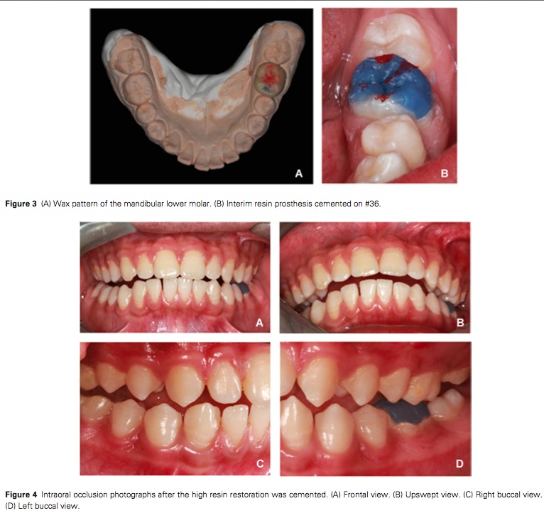
14歲的男性因為蛀牙, 對側牙supraeruption, 所以先以臨時的補綴物墊高, 然後每兩週觀察. 過了6週之後發現已經穩定, 所以就趕快將Onlay做上去. 這篇文章的價值是他們有去監測TMJ, 然後在這個患者上是沒有發現問題的.



