Peri-implant Mucosal Tissues and Inflammation Clinical Implications—Fiorellini(2019)

這篇文章是2019 AO 會議的討論文章,雖然文章一開始就說這個題目因為文獻不足所以沒辦法分析出結果,但是當代在植牙牙周的大師能夠有共識的結果,應該也是我們能夠遵循的臨床依據吧。文章內有許多小標題,其結論均值得一看。

比較Implant-Supported跟Tooth-Supported Prosthesis的Open Proximal Contact的機率之系統性回顧分析—Oh(2020)

這篇系統性回顧分析,去比較植牙跟自然牙做的固定補綴物,其open contact的機率及狀況如何。

一樣直接切入結果:整體來說植牙比自然牙是2.5倍的機率出現open contact,植牙會出現在近心而自然牙比較會出現在遠心面。但是,因為這樣的研究很難有RCT類的做法(因為多是用回顧的)所以目前只能說發現這樣的狀況但是不能下定論。

比較2 standard implants 跟 mini implants 對於overdenture的finite element analysis—Patil(2021)

這個電腦模擬的研究,是比較下顎 2 implants overdenture,使用mini (2.4 x 12mm) 及standard implant (3.5 x 12mm) 情況下,受到壓力的比較。

結果mini implant受到的壓力,會比standard implant 多出 68% 左右的壓力。雖然多出的壓力不見得會讓植牙失敗,但是風險就變高出許多了。

自然牙好還是植牙好?—Sadowsky(2021)

這篇文章我覺得可以追蹤。這是大師 Dr. Sadowsky個人看文章後的見解,簡單來說:1. 牙周病的牙齒,若是患者可以清潔乾淨,還是比較可以抵抗生物性的侵襲(因為PDL)2. 如果不能救的牙周牙齒,早點換成植牙,可以讓骨頭吸收情形減少。但是這篇是屬於個人見解,要更多的文獻研究佐證。

在印製多顆植牙時使用不同印模方式的精準度比較—Ismail(2020)

這研究室去比較,在下顎四顆植體的印模,使用三種不同的方式去印模:1. Close tray with snap plastic cap ; 2. Open tray 不連接 ; 3. Open tray 用樹脂相連。

那一般我們的想法是使用open tray相連最準,但是這個研究結果是close tray最準,然後open tray 相連第二,open tray 不相連有一半是不準的。我個人臨床經驗是,在類似的情況下,我會用close tray然後倒模後用相連的open impression coping確認。

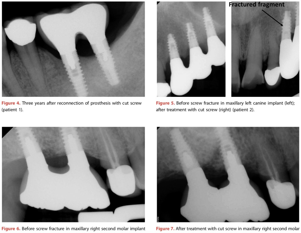
另類拯救Abutment screw fracture的方式—Yi(2021)

這篇敘述臨床abutment screw fracture的狀況,應該是有在做植牙假牙醫師不想面對的事。那解決的方法很有趣,就是乾脆將斷掉的部分向內推,然後換一支截斷的screw。而且最好要跟隔壁植牙相連(那單顆的可以嗎?)

雖然不希望會遇到這樣的狀況,但是看看別人怎麼做的總是很有趣的。

系統性回顧在植體放入的high insertion torque之影響—Lemos(2021)

這篇系統性回顧的文章,是去找符合作者設定條件下,去比較在植牙的時候若是在放入的torque超過50Ncm,視為high insertion torque條件,超過還是少於50Ncm哪者比較好?

結果是沒差,超過還是少於50Ncm的insertion torque對於植體存活率沒有明顯差異,但是還需要更長遠的追蹤才比較能下定論。

但是在要immediate loading條件時,可能要較高的insertion torque吧。

不同物質對於Abutment screw preload force的影響—Rathe(2021)

在鎖植牙的abutment時候,因為在口內所以可能會有血液唾液會流入,以往的研究是有指出唾液會讓abutment screw preload force變弱。這篇文章嘗試在五種狀況下,就是1. 乾燥 2. 唾液 3.血液 4. silicone gel 5. CHx gel的情況下去鎖,看看會不會影響。

結果是沒差,乾燥的狀況下最好,但是其他情形下影響不大。我是覺得盡量還是維持乾燥最好,但很難是完全乾燥的,而加上特別的gel好像也沒有什麼幫助。

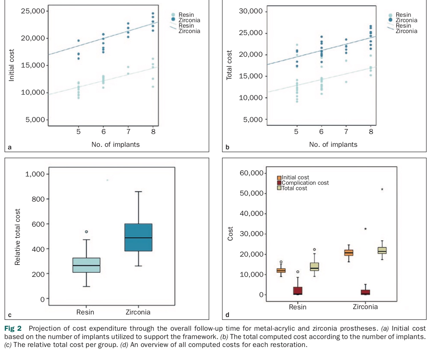
比較Full Arch Implant-Supported Zirconia-Based跟 Metal-Acrylic Fixed Dental Prosthesis的臨床表現及費用—Barootchi(2020)

在所謂的all-on-4 or more的治療,補綴物主要分成1. Zirconia base 2. Metal-Acrylic base。那因為兩者的價格差距滿大的,在一分錢一分貨的價值之上,理應是較貴的Zirconia base會表現較好。那真的是這樣嗎?

五年的追蹤下,Zirconia base整體存活率94%的確比Metal-Acrylic base的84%要好。但是成本也高出8000美金左右。要怎麼要去做以及怎麼選擇,我想要看醫師及患者之間的溝通而定。

上顎前牙植牙之鄰牙的長期追蹤occlusal migration(2020)

植牙因為骨整合的原因,所以應該是不會移動的。那相較於植牙不會動,隔壁的鄰牙會變得如何?在上顎前牙美觀區,可能會移動而讓植牙看起來低於咬合平面(infraocclusion)。

那統計上會怎麼樣?這篇文章統計起來,有統計上的差異的是年紀跟是不是immediate/delayed placement有相關。類似的研究其實都認為上顎前牙美觀區植牙的鄰牙,在超過十年後,看起來都會比植牙稍長一些。

但是,十年差異幾乎都小於1mm。所以應該是可以調整的。只是還是要了解植牙infraocclusion的可能性。